뇌 MRA MRI 검사 비용 차이점
- 건강정보
- 2023. 5. 26. 19:23
대부분의 사람들은 뇌MRI에 대해서는 들어보았을 겁니다. 그런데 MRI에 비해 뇌 MRA를 잘 모르는 사람들이 많이 있기에 오늘은 뇌 MRI와 뇌 MRA 검사 차이점에 대한 정보와 비용을 알려 드릴게요.

MRA 와 MRI 검사 차이점
MRI(자가공명 영상)은 자기장 및 컴퓨터를 사용하여 신체 내부의 이미지를 생성합니다. MRA(자기공명 혈관조영술)은 혈관에 초점을 맞추는 자기 공명 시술입니다.
이름이 비슷한 이두 검사는 밀접한 관계가 있으며 MRA, MRI 두 시술 모두 의료 전문가가 단한번의 절개 없이 신체 내부를 검사할수 있지만 그 과정과 용도가 다릅니다.
MRI 및 MRA는 신체 내부의 장기 , 뼈 또는 조직을 보는데 사용되는 진단 도구이며, 방사선을 사용하고 덜 상세한 이미지를 생성하는 X-레이 보다 최근에 개발된 MRA와 MRI는 더 선명한 사진을 제공 합니다.
때로는 조영제를 사용하여 MRA 및 MRI 스캔으로 이미지의 구조를 더 잘구별할수 있도록 하는경우도 있습니다.
1. MRI 검사
MRI는 척수와 뇌의 가장 일반적으로 사용되는 영상 검사 이며, 아래와 같은 사항을 검사하는데 유용하게 사용될수 있습니다.
- 뇌혈관 동맥류
- 다발성 경화증
- 내이 및 눈의장애
- 뇌졸중
- 척수 손상
- 종양
- 외상으로 인한 뇌손상
2. MRA 검사
MRA 검사는 신체를 절개하지 않고, 혈액이 신체를 통해 흐르는 방식을 통해 신체의 현재 상태를 알수 있으므로 의사는 혈관을 MRA를 통해 확인이 가능 합니다.
- 혈액이 너무 빨리 움직일경우 : 심혈관 질환을 유발할수 있는 고혈압이 있을수 있음
- 혈액이 너무 느린경우 : 치료하지 않고 방치하면 심장마비를 일으킬수 있는 신체의 막힘이 있을수 있습니다.
- 폐쇄성 동맥 질환
- 뇌동맥류
- 뇌경색
- 뇌졸중
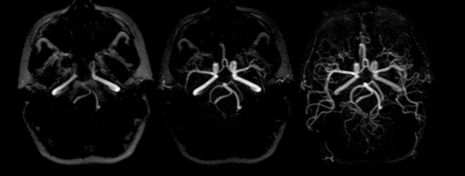
위 두가지 방법의 차이점은 사진을 한번보면 대략 어떤 차이가 있는지 한번에 알수 있습니다. 아래 사진을 보시고 어떤 차이가 있는 지 확인해 보세요.
▣ MRI MRA 사진

뇌MRI를 보시면 종양과 같은 것은 쉽게 찾을수 있을것 이고, 뇌MRA를 보시면 혈류를 볼수 있습니다. 즉 MRA는 혈관에 문제가 생긴것은 보다 쉽게 찾아낼수 있는 검사 입니다.

뇌 MRA MRI 검사 비용
뇌 MRI 비용과 뇌 MRA 비용은 일반적으로 동일 합니다. 그러나 병원마다 각각의 비용이 다르기 때문에 이점을 유의해야 합니다. 최신 장비 일수록 비용은 확실히 비싸졌습니다. 그런데 비싼만큼 좋은장비가 더욱더 선명하고 좋은 화질을 제공 합니다.
일반적으로 뇌 MRI비용은 35만원 정도 이야기 하는 분들도 있지만, 최근에 시설이 좋은 장비가 있는 병원에서 찍으니 45만원의 비용을 지불했습니다. MRA 비용 또한 45만원 했으며, 병원에 따라 비용이 달라 질수 있습니다.
- 뇌 MRI 비용 35-55만원
- 뇌 MRA 비용 35-55만원
- 조영제를 사용하는경우 10만원 추가
병원마다 비용의 차이가 크고, 장비가 좋고, 뽑은지 얼마 안된 병원일수록 비용은 비싸게 받는것 같습니다. 물론 새 기계값을 뽑아야 되는것도 있겠지만 비싸도 너무 비싸네요.
1. 뇌 MRI MRA 검사시 금식 시간
- 일반적으로 5시간 금식
- 조용제 사용시 8시간 금식
2. MRI 검사 시간 소요
뇌 MRI, MRA 검사 시간 소요는 대략 15분에서 20분 내외 정도 걸립니다. 아차 두가지 검사를 전부 할경우 병원에서는 어느정도 비용을 차감 해주는 경우가 있으니 그것은 꼭 알아보세요.
일반적으로 하는 뇌 MRI 검사와 MRA 검사의 차이는 뇌동맥류로 혈관에 생긴 문제는 MRA로 보고, 종양의 진단은 MRI로 보신다고 생각하시면 일반인들이 생각하기 쉬울것 같습니다. 이상으로 뇌 MRA MRI 검사 비용 차이점 포스팅을 마칩니다.
발목 삼각인대 염좌 손상 증상 원인
발목에는 바깥쪽과 안쪽에 인대가 존재 합니다. 일반적으로 안쪽에 있는 인대를 삼각인대라고 하며, 안쪽 발목 뼈를 함께 고정하는역활이라고 생각 하면 될듯 합니다. 이러한 발목 삼각인대 염
bluesmj.tistory.com
회전근개파열 견봉성형술 비용 후기
최전근개파열이 의심되어 병원에서 MRI를 찍고 MRI상 50%이상 회전근개파열이 보여 수술일자를 잡고 수술을 진행하였다. 그런데 막상 열어보니 회전근개파열을 봉합할 정도가 아니였으며, 원인이
bluesmj.tistory.com
고혈압 낮추는 방법 예방
고혈압 낮추는 방법은 여러가지가 있습니다. 그러나 낮추는 방법보다 고혈압을 예방하는 방법을 더 알아보는것이 효과적입니다. 오늘은 이 두가지 방법에 대해서 알아보고, 고혈압이 얼마나 위
bluesmj.tistory.com
'건강정보' 카테고리의 다른 글
| 치아 브릿지 금니 가격 27년 후기 (0) | 2023.06.19 |
|---|---|
| 안구건조증 치료 당근 한달 먹었더니 (0) | 2023.06.13 |
| 감기몸살 수액 효과 실비 가격 (0) | 2023.05.29 |
| 세라티크 세라마이드 효능 추천 (0) | 2023.05.23 |
| 기넥신에프정80mg 가격 이명 부작용 (0) | 2023.05.11 |
| 백내장 단초점 다초점 렌즈 선택 가격 후기 (0) | 2023.05.08 |
| 속이 메스꺼울때 원인 완화 방법 (0) | 2023.05.05 |
이 글을 공유하기






